Capital Dental Care.

Poor dental hygiene can lead to various diseases, causing discomfort and long-term issues. We show 7 of the most common dental diseases and their treatments.
Many people delay or avoid treatment because of the steep prices at home. This is where dental tourism in Turkey provides a life-changing alternative.
Gum treatment is a dental procedure designed to address issues related to the gums and the supporting structures of the teeth.
Tijuana, Mexico, is a top destination for dental tourism, offering world-class dental care at a fraction of U.S. prices.
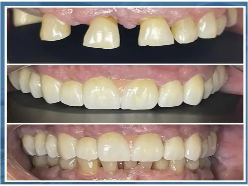
The All-on-4 procedure continues to be one of the most popular and innovative solutions for those with tooth loss, offering a natural lookand lasting comfort.
Dental extractions are dental procedures necessary when a tooth is severely damaged, decayed, or causing significant oral health issues.
Patient reviews continue to highlight the exceptional experiences in Molar City, which offers a unique blend of affordability and professional dental services.
As temperatures soar during the summer, we often focus on staying cool and hydrated. But have you considered how summer heat might affect your dental health?
Los Algodones, referred to as Molar City, is a shining star. Located near the US-Mexico border, this small town has become a hub for dental tourists from US.
In recent years, Baja California has emerged as a relevant location for individuals seeking cutting-edge medical treatments, particularly regenerative medicine.
Discover the best dental prices in Molar City, Mexico. Explore affordable treatments like implants, crowns, and more, with starting prices.
A dental implant is a modern solution for replacing missing teeth, offering a natural look and long-lasting durability, especially in Molar City!
Los Algodones, also known as Molar City, is located just south of the US border, this town has earned the well-deserved title of "Dental Capital of the World."
Dental tourism in Turkey has become a growing trend, offering world-class treatments at a fraction of the cost compared to US and Canada.
Let's explore patient experiences from some of the highest-rated dental clinics in the area to help you make an informed decision.